SPLEEN
A 15-year-old male patient first presented to the primary care center after history of RTA treated for 4 days, and then, he was referred to the emergency room of our hospital. He was then evaluated as Blunt injury abdomen and was resuscitated accordingly.
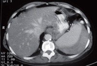
CT was taken from outside hospital which showed splenic injury grade III –IV which was managed conservatively. His vital signs were BP: 130/70 mm Hg, pulse rate: 85/bpm (regular), temperature: 36°C, SaO2 : 99%, and respiratory rate: 12/per minute. His state of consciousness was normal (GCS: 15). Lab parameters:
TC-22000, Hb-7.0 g/dl Pt-17sec, INR-1.45sec, Amylase- 115u/L. CT report was Grade IV splenic injury, Moderate Hemoperitoneum, Mild edema of the tail of pancreas, No bowel or other Visceral injury. As the patient was stable he was observed in the High dependency unit for 2 days with supportive medications and blood transfusions. His Hb improved up to 10.5 g/dl. He was then transferred to the room.
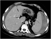
Subsequently he was doing well. After 5 days, he suddenly developed left upper abdominal pain, sweating and lethargy. He was immediately wheeled to the ICU and resuscitated with fluids, blood and blood products. The Hb dropped to 7.2 g/dl, and he had BP of 90/60mm Hg, he was tachypneic and pulse rate was 104/ min. The patient was planned for CT proceed and emergency exploratory laparotomy.
Splenectomy was done. The patient was gradually weaned off from the ventilator and Hb improved up to 9.6g/dl by fresh blood transfusion. He was transferred to room on POD 4 and was started on oral diet subsequently. Then on POD 7, he was discharged and was prescribed polyvalent pneumococcal vaccine at review.
In the evaluation of patients presenting to the emergency room with blunt abdominal trauma, FAST, in addition to a physical examination, biochemical tests, and direct radiographic examination, facilitates the diagnostic process. FAST involves the examination of the hepatorenal recess (Morrison’s pouch), perisplenic area, and pericardiac area for the for the presence of free fluid and ultrasonographic examination of the liver, spleen, and kidneys. One important point that should be considered is the difficulty in detecting organ injury due to the anatomic features of the spleen and the inability to detect free fluid in the case of an unruptured subscapular hematoma.
The current case report presents a patient who developed delayed splenic rupture 10 days after sustaining blunt abdominal trauma and who was treated with emergency surgical operation. Patients who develop splenic rupture in the late term may show normal physical examination findings at the initial examination. Furthermore, the possibility of the possibility of developing splenic rupture should not be overlooked, even if the patient’s medical history is not found to be remarkable for drug abuse, infections, or previous surgical operations. Repeated physical examinations and FAST have become more important in the management of such cases. On the other hand, CT should be requested without delay in the presence of a high-energy trauma and hemodynamic instability.
